Images
La Asociación Española de Enfermos de Glucogenosis (AEEG) celebra el Día Mundial de la Enfermedad de Pompe con actividades de sensibilización en toda España y el lanzamiento de una campaña de micromecenazgo para cofinanciar un proyecto científico del IRB Barcelona.
Es una enfermedad minoritaria de degeneración muscular progresiva, fatal en niños menores de un año y muy debilitante para niños, jóvenes y adultos.
Se calcula que hay entre 5.000 y 10.000 afectados en todo el mundo, con una media de un caso por cada 40.000 nacimientos. En España, se estiman 400 enfermos, de los cuales 100 diagnosticados.
La deficiencia de una proteína causa el deterioro de las células musculares pero falta investigar qué papel tiene la afectación de las neuronas motoras en la patología.
El 15 de Abril es el Día Mundial de Pompe. Aún teniendo su propio día internacional y una película de Hollywood titulada “Medidas Extraordinarias”, esta enfermedad minoritaria que afecta al desarrollo muscular de todo el cuerpo, provoca pérdidas en la función motora y daños en el corazón y diafragma entre otros tejidos, es desconocida para la gran mayoría. La Asociación Española de Enfermos de Glucogenosis (AEEG) ha lanzado una campaña de sensibilización en España con el lema “Investigar salva vidas” (VÍDEO), para dar a conocer la Enfermedad de Pompe, también denominada Glucogenosis de Tipo II, y cofinanciar un proyecto científico que llevará a cabo el Instituto de Investigación Biomédica (IRB Barcelona). La AEEG, en colaboración con entidades deportivas de España, recaudará fondos durante los próximos partidos de, entre otros, RCD Espanyol, Real Sociedad – ambos este domingo 12 de Abril en el Prat-Cornellà y en Anoeta respectivamente -, Atlético de Madrid – el sábado 25 de Abril en el Vicente Calderón -, y de la Federació Catalana de Tennis y del FIATC Joventut, - celebrados los pasados 3 y 6 de Abril -. Además la AEEG recogerá donaciones de micromecenazgo a través de la web www.investigacionpompe.org.
“Existen 17 tipos de glucogenosis. En España, habrá unos 100 casos diagnosticados de Pompe y una decena en Catalunya. El objetivo de la campaña es dar a conocer la enfermedad y apoyar la investigación para tratar de ofrecer algún día mejores tratamientos”, explica Francesc Cayuela, presidente de la AEEG.
La asociación tiene en marcha 25 proyectos de investigación sobre diversos tipos de glucogenosis, siendo el proyecto del IRB Barcelona, el primero dedicado a la Enfermedad de Pompe cofinanciado por la asociación. “No hay suficiente investigación sobre Pompe y pocos laboratorios en todo el mundo le dedican sus esfuerzos. Es responsabilidad de todos y también nuestra, de pacientes y familiares, sensibilizar y apoyar iniciativas de investigación”, describe Cayuela.
10.000 afectados en todo el mundo
La Enfermedad de Pompe es muy minoritaria, con una estimación de afectados que oscila entre 5.000 y 10.000 personas en todo el mundo, y es mortal en niños menores de un año. Es debida a la herencia de un gen disfuncional que provoca deficiencias de la enzima maltasa ácida, cuya función es reducir las largas moléculas de glucógeno a glucosa.
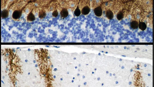
En los enfermos de Pompe, la carencia de esta enzima resulta en la acumulación de glucógeno en diferentes tejidos, afectando principalmente a los músculos. El único tratamiento se habilitó en 2003 y consiste en reemplazar la proteína deficiente en estos enfermos (Tratamiento de substitución enzimática Myozyme). El laboratorio dirigido por Joan Guinovart en el IRB Barcelona descubrió recientemente que la acumulación de glucógeno en neuronas tiene consecuencias nefastas para éstas y acaba por inducir su muerte. Y aunque la patología de Pompe se atribuye a la acumulación de glucógeno en las células musculares, se ha descrito también la presencia de acúmulos de glucógeno en el sistema nervioso de pacientes y en modelos animales con Pompe.
“Nuestro proyecto busca discriminar el componente neuronal de la enfermedad e identificar una posible diana para su tratamiento ya que el tratamiento actual no actúa en el sistema nervioso”, explica Jordi Duran, investigador asociado en el IRB Barcelona y co-líder del proyecto. Además, los resultados podrán ser evaluados en modelos experimentales de otros tipos de glucogenosis, ampliando el impacto de los descubrimientos.
IRB Barcelona
El Instituto de Investigación Biomédica (IRB Barcelona) trabaja para conseguir una vida libre de enfermedades. Desarrolla una investigación multidisciplinar de excelencia para curar el cáncer y otras enfermedades vinculadas al envejecimiento. Establece colaboraciones con la industria farmacéutica y los principales hospitales para hacer llegar los resultados de la investigación a la sociedad, a través de la transferencia de tecnología, y realiza diferentes iniciativas de divulgación científica para mantener un diálogo abierto con la ciudadanía. El IRB Barcelona es un centro internacional que acoge alrededor de 400 científicos de más de 30 nacionalidades. Reconocido como Centro de Excelencia Severo Ochoa desde 2011, es un centro CERCA y miembro del Barcelona Institute of Science and Technology (BIST).