Images
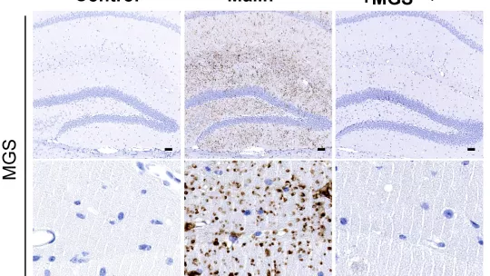
La acumulación anormal de glucógeno en las células de la glía del sistema nervioso provoca la inflamación y degeneración del cerebro.
El trabajo del IRB Barcelona se ha publicado en la revista Brain.
La Enfermedad de Lafora es una enfermedad neurodegenerativa hereditaria que se manifiesta inicialmente con crisis epilépticas en la adolescencia, y evoluciona con una degeneración progresiva del sistema nervioso hasta provocar la muerte unos diez años después de su aparición. Se caracteriza por la acumulación en el cerebro de agregados anormales de glucógeno, llamados cuerpos de Lafora. Actualmente no existe tratamiento, aunque hay algunas terapias en fase de ensayos clínicos.
El laboratorio de Ingeniería Metabólica del IRB Barcelona, que dirige el Dr. Joan Guinovart, Profesor Emérito de la Universidad de Barcelona (UB) y también jefe de grupo del CIBERDEM, ha descubierto que los cuerpos de Lafora que se acumulan en las células de la glía, células esenciales para el buen funcionamiento del sistema nervioso, son los responsables de la neurodegeneración asociada a la enfermedad.
Para este estudio, el grupo del Dr. Guinovart generó un modelo de ratón con enfermedad de Lafora, en el cual evitaron que el glucógeno se acumulara en las células de la glía. Así, comprobaron que estos ratones no desarrollaban neurodegeneración.
“Durante años se creyó que la enfermedad era causada por la acumulación de cuerpos de Lafora solamente en las neuronas, pero ahora hemos demostrado que la neurodegeneración está causada por acúmulos en las células de la glía” dice el Dr. Jordi Duran, co-director del estudio.
“Este descubrimiento tiene importantes implicaciones para el diseño de tratamientos para la enfermedad y nuestra intención es ahora investigar el mecanismo por el cual los acúmulos de glucógeno provocan estos daños. También estudiaremos el posible papel de este mecanismo patológico en otras enfermedades neurodegenerativas”, explica el Dr. Duran.
En el estudio también han participado los laboratorios del catedrático de la UB José Antonio del Río (del Instituto de Bioingeniería de Cataluña y el Instituto de Neurociencias de la UB) y del profesor Matthew Gentry (de la University of Kentucky).
Un consorcio propiciado por la asociación de familias afectadas
Este proyecto se ha desarrollado en el marco de un consorcio mundial para el estudio de la enfermedad de Lafora, que coordina la Universidad de Kentucky, en Estados Unidos. El consorcio recibió en 2016 7,7 millones de dólares, del NIH (Institutos de Salud de los Estados Unidos) para cinco años.
La creación del consorcio fue promovida por Chelsea’s Hope, una asociación de familias afectadas por Lafora en Estados Unidos, que en 2014 reunió a los principales especialistas para incentivar la investigación de esta enfermedad.
Artículo de referencia:
Jordi Duran, Arnau Hervera, Kia H Markussen, Olga Varea, Iliana López-Soldado, Ramon C Sun, Jose Antonio del Río, Matthew S Gentry & Joan J Guinovart
Astrocytic glycogen accumulation drives the pathophysiology of neurodegeneration in Lafora disease
Brain (2021) DOI: 10.1093/brain/awab110
IRB Barcelona
El Instituto de Investigación Biomédica (IRB Barcelona) trabaja para conseguir una vida libre de enfermedades. Desarrolla una investigación multidisciplinar de excelencia para curar el cáncer y otras enfermedades vinculadas al envejecimiento. Establece colaboraciones con la industria farmacéutica y los principales hospitales para hacer llegar los resultados de la investigación a la sociedad, a través de la transferencia de tecnología, y realiza diferentes iniciativas de divulgación científica para mantener un diálogo abierto con la ciudadanía. El IRB Barcelona es un centro internacional que acoge alrededor de 400 científicos de más de 30 nacionalidades. Reconocido como Centro de Excelencia Severo Ochoa desde 2011, es un centro CERCA y miembro del Barcelona Institute of Science and Technology (BIST).