Images
The accumulation of abnormal glycogen in glial cells of the nervous system causes inflammation and degeneration of the brain.
This study by IRB Barcelona has been published in the journal Brain.
Lafora disease is an inherited neurodegenerative condition that initially develops with seizures in adolescence and evolves with progressive degeneration of the nervous system to death, about ten years after its onset. It is characterised by the accumulation of abnormal glycogen aggregates called Lafora bodies in the brain. There is currently no treatment for this condition, although some therapies are being tested in clinical trials.
Led by Dr. Joan Guinovart, emeritus professor of the University of Barcelona (UB) and also group leader of CIBERDEM, the Metabolic Engineering lab at IRB Barcelona has discovered that Lafora bodies that accumulate in glial cells, which are essential for the proper functioning of the nervous system, are responsible for the neurodegeneration associated with the disease.
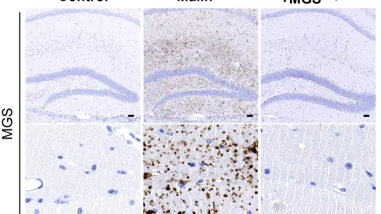
For this study, Dr. Guinovart's group generated a mouse model of Lafora disease, in which they prevented glycogen from accumulating in glial cells. They found that these mice did not develop neurodegeneration.
"For years, it was believed that the disease was caused by the accumulation of Lafora bodies only in neurons, but now we have shown that neurodegeneration is caused by accumulations in glial cells," says Dr. Jordi Duran, co-director of the study.
"This discovery has important implications for the design of treatments for the disease and we now intend to investigate the mechanism by which glycogen deposits cause this damage. We will also study the possible role of this pathological mechanism in other neurodegenerative diseases," explains Dr. Duran.
The study also involved the laboratories led by Dr. José Antonio del Río, full professor of the UB (at the Institute for Bioengineering of Catalonia and the UB’s Institute of Neurosciences) and Professor Matthew Gentry (at the University of Kentucky).
A consortium supported by the association of affected families
This project has been developed within the framework of a global consortium for the study of Lafora disease, coordinated by the University of Kentucky in the US. In 2016, the consortium received $7.7 M from NIH (U.S. National Institutes of Health) for a period of five years. The consortium was promoted by Chelsea's Hope, an association of families in the US affected by Lafora disease, which in 2014 brought together leading specialists to foster research into the disease.
Reference article:
Jordi Duran, Arnau Hervera, Kia H Markussen, Olga Varea, Iliana López-Soldado, Ramon C Sun, Jose Antonio del Río, Matthew S Gentry & Joan J Guinovart
Astrocytic glycogen accumulation drives the pathophysiology of neurodegeneration in Lafora disease
Brain (2021) DOI: 10.1093/brain/awab110
About IRB Barcelona
The Institute for Research in Biomedicine (IRB Barcelona) pursues a society free of disease. To this end, it conducts multidisciplinary research of excellence to cure cancer and other diseases linked to ageing. It establishes technology transfer agreements with the pharmaceutical industry and major hospitals to bring research results closer to society, and organises a range of science outreach activities to engage the public in an open dialogue. IRB Barcelona is an international centre that hosts 400 researchers and more than 30 nationalities. Recognised as a Severo Ochoa Centre of Excellence since 2011, IRB Barcelona is a CERCA centre and member of the Barcelona Institute of Science and Technology (BIST).