Images
El trabajo revela por primera vez el rol fundamental del gen TLK2 en el desarrollo embrionario de ratones.
El estudio ratifica un rol importante tanto de TLK1 como de TLK2 para la estabilidad genómica.
Un estudio genómico masivo con discapacitados intelectuales desarrollado en Holanda ha señalado mutaciones en el gen TLK2.
La placenta es un órgano efímero que relaciona al embrión en desarrollo con la madre, satisfaciendo las necesidades de respiración, nutrición y expulsión del feto. Científicos del Instituto de Investigación Biomédica (IRB Barcelona) revelan por primera vez que el gen TLK2 es indispensable para el desarrollo de la placenta y la viabilidad del embrión, en ratones. Los resultados se publican hoy en la revista del grupo Nature, Cell Death and Differentiation.
A pesar de las diferencias entre el desarrollo embrionario de ratones y humanos, este hallazgo podría tener relevancia biomédica. Datos clínicos recientes obtenidos de un análisis genómico masivo desarrollado en Holanda con discapacitados intelectuales, detectó mutaciones en 10 nuevos genes de los pacientes, entre los cuales se incluye TLK2.
Travis H. Stracker, científico del IRB Barcelona y líder del estudio, explica que “especulamos que en humanos las mutaciones en el gen TLK2 pueden resultar en disfuncionalidad de la placenta durante el desarrollo embrionario– por ejemplo, que no llegue suficiente oxígeno – y provoque desórdenes neurológicos.”
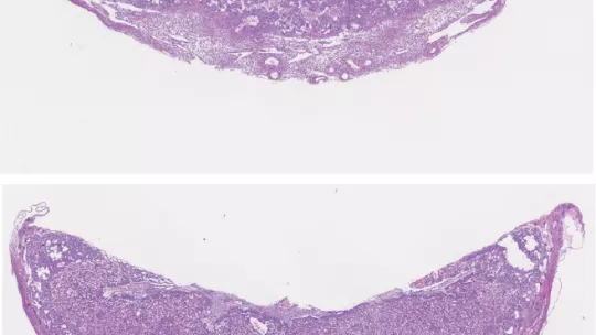
En ratones sin TLK2, el embrión es más pequeño pero los investigadores no observan defectos morfológicos y la placenta también es más pequeña. Son los fallos en la placenta la causa de la muerte del embrión a los 15 días de los 20 de gestación. Los científicos detectan una reducción en la expresión de genes importantes para la proliferación o supervivencia de trofoblastos -grupo de células especializadas que provee nutrientes al embrión- con efectos en la funcionalidad de la placenta.
Dispensable en adultos
En este mismo trabajo, los científicos también revelan que TLK2 es, en cambio, totalmente dispensable en ratones adultos. Su función la suple su gen “gemelo”, TLK1. La ausencia de uno u otro gen se compensa por la presencia del otro, y los animales son aparentemente normales, saludables y tiene la misma esperanza de vida.
“Sólo cuando eliminamos los dos genes a la vez vemos problemas de inestabilidad genómica, segregación de cromosomas y complicaciones de este tipo”, resume la estudiante de doctorado de “la Caixa” en el IRB Barcelona, Sandra Segura-Bayona, primera autora del estudio junto al investigador postdoctoral Philip Knobel y Helena González Burón, quien inició este estudio también con una beca de “la Caixa” en 2011, y cuyos resultados de su tesis también se incluyen en este artículo.
Los investigadores concluyen que ambos genes mantienen la integridad genómica y la viabilidad celular y que sus funciones en adultos son redundantes.
TLK1 y TLK2 en cáncer
En el apartado del cáncer, se sabe que TLK2 está aumentado en un subtipo de tumor de mama y que dicho aumento está implicado en la progresión del cáncer. Además, es conocido que tanto TLK1 como TLK2 están involucrados en la proliferación celular y que probamente dicha actividad de ambos genes es necesaria para la progresión de las células tumorales. En base a este conocimiento, se especula que tanto TLK1 como TLK2 podrían ser diana de terapias anticáncer.
Con el fin de avanzar en esta línea, el laboratorio de Travis H. Stracker, dedicado a estudiar la relación entre Inestabilidad Genómica y Cáncer, está poniendo a punto inhibidores de TLK1 y TLK2 para estudiar las funciones de estos genes en modelos animales de cáncer.
El trabajo publicado hoy se ha realizado en colaboración con investigadores de la Universidad de Utrecht en Holanda, del Princess Margaret Cancer Center de Toronto en Canadá y de la Universidad de Copenhague en Dinamarca. El trabajo ha recibido financiación del Ministerio de Economía y Competitividad a través de fondos europeos Feder.
Reference article:
Sandra Segura-Bayona, Philip A Knobel, Helena González-Burón, Sameh A Youssef, Aida Peña-Blanco, Étienne Coyaud, Teresa López-Rovira, Katrin Rein, Lluís Palenzuela, Julien Colombelli, Stephen Forrow, Brian Raught, Anja Groth, Alain de Bruin, and Travis H Stracker
Differential requirement for Tousled-like kinases 1 and 2 in mammalian development
Cell Death and Differentiation (2017): doi: 10.1038/cdd.2017.108
Sobre el IRB Barcelona
Creado en 2005 por la Generalitat de Catalunya y la Universidad de Barcelona, el IRB Barcelona es Centro de Excelencia Severo Ochoa desde 2011. El objetivo del IRB Barcelona es hacer investigación de excelencia en biomedicina y mejorar la calidad de vida de las personas y, en paralelo, potenciar la formación de talento, la transferencia tecnológica y la comunicación social de la ciencia. Los 25 laboratorios y siete plataformas tecnológicas trabajan para responder a preguntas básicas en biología y orientadas a enfermedades como el cáncer, la metástasis, el Alzheimer, la diabetes y enfermedades raras. Es un centro internacional que acoge alrededor de 400 trabajadores de 32 nacionalidades. Está ubicado en el Parque Científico de Barcelona. El IRB Barcelona forma parte del Barcelona Institute of Science and Technology (BIST) y la red de Centros de Investigación de Catalunya (CERCA).
IRB Barcelona
El Instituto de Investigación Biomédica (IRB Barcelona) trabaja para conseguir una vida libre de enfermedades. Desarrolla una investigación multidisciplinar de excelencia para curar el cáncer y otras enfermedades vinculadas al envejecimiento. Establece colaboraciones con la industria farmacéutica y los principales hospitales para hacer llegar los resultados de la investigación a la sociedad, a través de la transferencia de tecnología, y realiza diferentes iniciativas de divulgación científica para mantener un diálogo abierto con la ciudadanía. El IRB Barcelona es un centro internacional que acoge alrededor de 400 científicos de más de 30 nacionalidades. Reconocido como Centro de Excelencia Severo Ochoa desde 2011, es un centro CERCA y miembro del Barcelona Institute of Science and Technology (BIST).