Images
Las proteínas p38α y p38β cooperan durante el desarrollo embrionario, lo que sugiere que también puedan hacerlo en otros contextos como en cáncer o enfermedades cardíacas.
Eran todas las que estaban, pero no estaban todas las que eran. Este es el lema que se desprende del último trabajo liderado por el Profesor de investigación ICREA del IRB Barcelona y Catedrático de Investigación Oncológica Fundación BBVA Ángel Rodríguez Nebreda, que ha desvelado un nuevo papel de las proteínas p38 en el desarrollo embrionario de ratón. Estos resultados se publican esta semana en la versión online de la revista Proceedings of the National Academy of Sciences of the United States of America (PNAS).
Las proteínas p38α y p38β son unas piezas fundamentales de las células que controlan funciones tan importantes como la proliferación, diferenciación o muerte celular, lo que explica que su malfuncionamiento provoque alteraciones en la regulación celular pudiendo facilitar la formación de tumores. A pesar de que son muchos los estudios celulares que han caracterizado estas proteínas, hasta el momento se habían hecho muy pocos estudios genéticos sobre el papel que desempeñan “in vivo” en mamíferos.
Un “truco” genético que sienta las bases para el estudio de enfermedades humanas
El trabajo que ha sido realizado fundamentalmente por Iván del Barco Barrantes, primer autor del artículo, ha conseguido eliminar por primera vez mediante técnicas genéticas las proteínas p38α y p38β en ratón. Esta nueva aproximación ha permitido estudiar el papel de estas proteínas en su conjunto, y no la función de cada una de ellas por separado tal y como se había hecho hasta ahora.
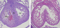
Los resultados del estudio han demostrado que la falta de p38α y p38β provoca importantes alteraciones en el desarrollo embrionario, incluyendo ausencia del septo cardíaco - que separa la sangre oxigenada de la no oxigenada en el corazón – y reducción en la pared muscular del miocardio, así como alteraciones en el hígado y cierre incompleto del tubo neural o del cráneo. Estos efectos provocan graves fallos multiorgánicos en el embrión que hacen que no pueda llegar al final de la gestación. “Estas funciones de p38α y p38β no se observan al eliminar las proteínas por separado, lo que sugiere que colaboran y tienen funciones solapantes durante el desarrollo embrionario”, declara Nebreda.
Este trabajo anticipa que las proteínas p38α y p38β puedan cooperar en otros contextos distintos que no sean el desarrollo embrionario, como en cáncer o enfermedades cardíacas. Además, “la estrategia genética que hemos desarrollado para eliminar simultáneamente p38α y p38β nos permitirá estudiar de una forma más detallada los efectos secundarios de algunas drogas que bloquean la acción de ambas proteínas”.
Artículo de referencia: Genetic analysis of specific and redundant roles for p38α and p38β MAPKs during mouse development. Ivan del Barco Barrantes, Juan Manuel Coya, Flavio Maina, J. Simon C. Arthur, and Angel R. Nebreda. PNAS (2011). [doi: 10.1073/pnas.1015013108]
IRB Barcelona
El Instituto de Investigación Biomédica (IRB Barcelona) trabaja para conseguir una vida libre de enfermedades. Desarrolla una investigación multidisciplinar de excelencia para curar el cáncer y otras enfermedades vinculadas al envejecimiento. Establece colaboraciones con la industria farmacéutica y los principales hospitales para hacer llegar los resultados de la investigación a la sociedad, a través de la transferencia de tecnología, y realiza diferentes iniciativas de divulgación científica para mantener un diálogo abierto con la ciudadanía. El IRB Barcelona es un centro internacional que acoge alrededor de 400 científicos de más de 30 nacionalidades. Reconocido como Centro de Excelencia Severo Ochoa desde 2011, es un centro CERCA y miembro del Barcelona Institute of Science and Technology (BIST).