Images
Un estudio del IRB Barcelona y el IDIBAPS señala una diana terapéutica para evitar la formación de los numerosos vasos sanguíneos anómalos causantes de hemorragias digestivas, principal complicación en cirrosis.
La cirrosis es el mayor factor de riesgo para la aparición de cáncer de hígado. La misma diana podría ser clave para prevenirlo y tratarlo.
La cirrosis está entre las veinte primeras causas de muerte por enfermedad a nivel mundial
Científicos liderados por Raúl Méndez, investigador ICREA del Instituto de Investigación Biomédica (IRB Barcelona), y Mercedes Fernández, del IDIBAPS de Barcelona, señalan la proteína CPEB4 como la molécula a inhabilitar para evitar la generación de nuevos vasos sanguíneos anómalos asociados a cirrosis. La angiogénesis patológica es una de las complicaciones más importantes en pacientes con cirrosis y un factor clave en el desarrollo y agravamiento de la enfermedad. Por ello, se investigan terapias para combatirla. Los resultados del estudio se publican en el último número de Gastroenterology, la revista científica más prominente en enfermedades gastrointestinales.
En los países occidentales, la cirrosis hepática se encuentra entre las primeras 10 causas de muerte en adultos. Es una enfermedad muy frecuente en España y la primera causa de trasplante hepático en nuestro país. Representa un alto índice de ingresos hospitalarios y consumo de recursos sanitarios debido a las complicaciones que se producen en las fases avanzadas de la enfermedad.
Efecto reparador perverso
La cirrosis es una lesión crónica del hígado caracterizada por la acumulación de cicatrices (nódulos fibrosos) en el tejido que interfieren en la estructura y el funcionamiento normal del órgano. Las principales causas de las lesiones hepáticas crónicas son el alcoholismo, la hepatitis C y, en número creciente, la obesidad.
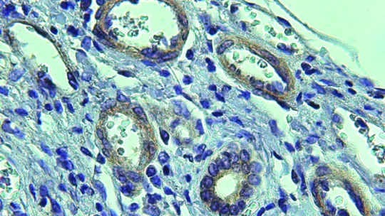
El cúmulo de cicatrices complica la circulación de la sangre a través del hígado, generando hipertensión portal (de la vena porta). Para liberar presión en la vena, se generan vasos sanguíneos colaterales, fuera del hígado. El problema entonces es doble, primero porque todavía llega menos sangre al hígado lo que genera más daño hepático y además los vasos son de mala calidad (angiogénesis patológica).
“Las células hepáticas intentan reparar las lesiones pero el modo en que lo hacen acaba siendo fatal para el órgano. Es un círculo que se va amplificando y que acaba siendo muy crítico para la vida de los pacientes. Además, los vasos colaterales forman varices en el esófago y estómago de los pacientes con cirrosis; estas varices son muy frágiles y son propensas a romperse causando hemorragias intensas y muy difíciles de parar”, explica Mercedes Fernández, del IDIBAPS y co-líder del estudio. “Por ello, una terapia dirigida a revertir los vasos patológicos, que no existe hoy por hoy, sería eficiente”, añade.
Una diana llamada CPEB4
La principal proteína efectora en la generación de vasos sanguíneos es VEGF (vascular endothelial growth factor). “Todos los fármacos actuales que buscan evitar la neovascularización se basan en inhibir VEGF o los receptores de VEGF pero el problema es que atacando esta proteína de forma indiscriminada inhabilitas la generación normal de vasos con lo que los efectos adversos son intolerables”, explica Méndez del IRB Barcelona.
A raíz de un estudio anterior publicado en Nature Medicine, Méndez ya había descubierto junto a investigadores del Hospital del Mar de Barcelona, que las CPEB intervienen en la generación de vasos sanguíneos en cáncer de páncreas y cerebro. Dada la urgencia de encontrar nuevas dianas para la angiogénesis patológica, Méndez y Fernández iniciaron una colaboración para estudiar el papel de CPEB4 en angiogénesis patológica en el contexto de la cirrosis, donde la neovascularización es muy abundante.
“Lo más bonito del trabajo es que demostramos que interfiriendo en las proteínas CPEB4 eliminamos únicamente la formación de vasos patológicos, mientras que la vascularización positiva se mantiene intacta”, señala Méndez. Los experimentos en células en vitro, en modelos animales y en muestras procedentes de pacientes con cirrosis han revelado los mecanismos moleculares por los que el aumento de la CPEB4 favorece la sobreexpresión de VEGF en cirrosis.
De cirrosis a cáncer de hígado
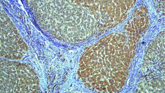
El círculo reparador en el que entra el hígado empeora tanto la situación que provoca que los nódulos de regeneración, con altos niveles de CPEB4, acaben formando hepatocarcinomas, sostienen los investigadores. En este contexto, la Asociación Española Contra el Cáncer (AECC) ha otorgado más de un millón de euros al tándem Méndez-Fernández, quienes junto con Jordi Bruix del IDIBAPS-Hospital Clínic, trabajarán de forma coordinada para desentrañar el papel de esta molécula y proponer un tratamiento para los hepatocarcinomas, el principal cáncer de hígado y la tercera causa de muerte por cáncer en todo el mundo, con una tasa de supervivencia a los 5 años inferior al 10%.
En paralelo, el laboratorio de Méndez en el IRB Barcelona tiene en marcha un proyecto de investigación de inhibidores de CPEB4. El año pasado consiguieron revelar las estructuras atómicas de estas proteínas, paso previo al diseño computacional de inhibidores, que están desarrollando en colaboración con Modesto Orozco en el mismo centro. Además, y con el apoyo de la Fundación Botín, Méndez tiene a punto un método de testeo de inhibidores de CPEB4 para acelerar la detección de las moléculas terapéuticas con mayor potencial.
Artículo de referencia:
Sequential Functions of CPEB1 and CPEB4 Regulate Pathologic Expression of VEGF and Angiogenesis in Chronic Liver Disease.
Calderone V, Gallego J, Fernandez-Miranda G, Garcia-Pras E, Maillo C, Berzigotti A, Mejias M, Bava FA, Angulo-Urarte A, Graupera M, Navarro P, Bosch J, Fernandez M*, Mendez R*.
Gastroenterology (2015). doi: 10.1053/j.gastro.2015.11.038
IRB Barcelona
El Instituto de Investigación Biomédica (IRB Barcelona) trabaja para conseguir una vida libre de enfermedades. Desarrolla una investigación multidisciplinar de excelencia para curar el cáncer y otras enfermedades vinculadas al envejecimiento. Establece colaboraciones con la industria farmacéutica y los principales hospitales para hacer llegar los resultados de la investigación a la sociedad, a través de la transferencia de tecnología, y realiza diferentes iniciativas de divulgación científica para mantener un diálogo abierto con la ciudadanía. El IRB Barcelona es un centro internacional que acoge alrededor de 400 científicos de más de 30 nacionalidades. Reconocido como Centro de Excelencia Severo Ochoa desde 2011, es un centro CERCA y miembro del Barcelona Institute of Science and Technology (BIST).