Images
Nature Medicine publica un trabajo pionero sobre una proteína que regula la expresión de cientos de genes con un papel fundamental en la progresión del cáncer de páncreas, gliomas y, posiblemente, en muchos otros tipos de tumores.
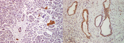
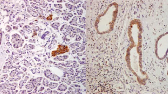
Un trabajo dirigido por los investigadores Raúl Méndez, profesor ICREA del Institut de Recerca Biomèdica (IRB Barcelona) y Pilar Navarro del IMIM (Instituto de Investigación Hospital del Mar, Barcelona) describe un nuevo mecanismo de reprogramación de la expresión de genes que transforman una célula sana en tumoral. En este estudio, que se publica en Nature Medicine esta semana, los científicos han identificado la proteína CPEB4 como un director de orquesta celular que “enciende” cientos de genes vinculados al crecimiento tumoral.
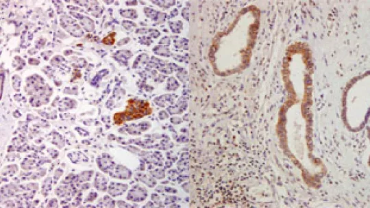
“La novedad radica en que no sería sólo la mutación de un gen concreto lo que promovería el crecimiento del tumor, sino la expresión en el sitio incorrecto de una proteína que “activa” cientos de moléculas mensajeras (mARNs) que llevan la información contenida en los genes para sintetizar las proteínas, sin que estos genes estén mutados. Esto origina la expresión de multitud de genes “normales” pero en cantidades y en momentos anormales, más propios de las etapas tempranas de desarrollo del embrión que de órganos adultos”, explica Raúl Méndez, experto en la familia de proteínas CPEB, que inició este trabajo en el CRG para continuarlo en el IRB Barcelona. “Este sería el caso del tPA (activador tisular del plasminógeno), una proteína que normalmente no se encuentra en páncreas sano y que, sin embargo, presenta niveles muy altos en tumores de páncreas”, matizan Elena Ortiz-Zapater, primera firmante del artículo, y Pilar Navarro.
Sin CEPB4 los tumores se reducen en un 80%
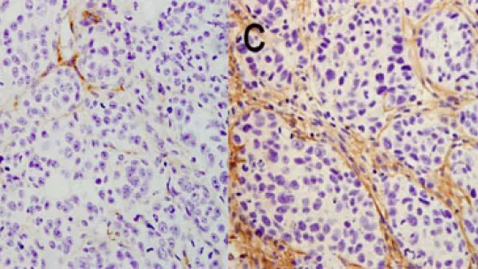
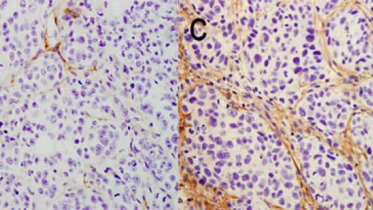
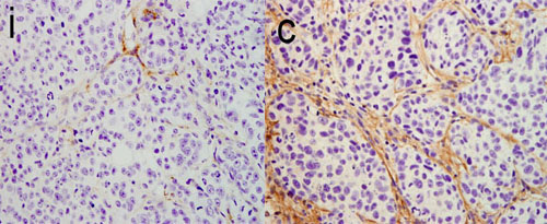
Una conclusión destacada del trabajo es que en los tejidos estudiados, páncreas y cerebro, CPEB4 no se detecta en células normales sino sólo en las tumorales, por lo que su inhibición sería un tratamiento antitumoral muy específico y con muy pocos efectos adversos, “una de las principales limitaciones hoy de muchas de las terapias antitumorales”, dice Pilar Navarro, científica especialista en cáncer de páncreas.
De hecho, este trabajo muestra, mediante estudios realizados en ratón con células de tumores de pacientes, que la disminución de los niveles de CPEB4 en las células cancerosas, reduce el tamaño de los tumores hasta un 80%. Aunque de momento el estudio se limita a dos tipos de tumores, según los científicos coautores, “teniendo en cuenta los efectos observados en los tumores estudiados y el tipo de genes regulados por este mecanismo, es esperable que participe en muchos otros tumores”.
Este trabajo abre una vía para diseñar nuevos tratamientos contra el cáncer, para lo que los investigadores están diseñando y analizando inhibidores de CPEB4 con posible valor terapéutico. “Las aplicaciones a nivel clínico son muy prometedoras aunque se necesita mucho trabajo de investigación para identificar moléculas inhibidoras y testarlas en diferentes modelos antes de determinar su potencial clínico y, en su caso, que puedan ser utilizadas en pacientes”, advierten Navarro y Méndez.
En el estudio han participado Francisco X. Real, del Centro Nacional de Investigaciones Oncológicas (CNIO) y Eduardo Eyras, investigador ICREA, ambos del Departamento de Ciencias Experimentales y de la Salud de la UPF; junto a Mar Iglesias y Francesc Alameda, del Servicio de Patología del Hospital del Mar.
Artículo de referencia:
Key contribution of CPEB4-mediated translational control to cancer progression.
Elena Ortiz-Zapater, David Pineda, Neus Martínez-Bosch, Gonzalo Fernández-Miranda, Mar Iglesias, Francesc Alameda, Mireia Moreno, Carolina Eliscovic, Eduardo Eyras, Francisco X. Real, Raúl Méndez and Pilar Navarro.
Nature Medicine (2011) doi: 10.1038/nm.2540
IRB Barcelona
El Instituto de Investigación Biomédica (IRB Barcelona) trabaja para conseguir una vida libre de enfermedades. Desarrolla una investigación multidisciplinar de excelencia para curar el cáncer y otras enfermedades vinculadas al envejecimiento. Establece colaboraciones con la industria farmacéutica y los principales hospitales para hacer llegar los resultados de la investigación a la sociedad, a través de la transferencia de tecnología, y realiza diferentes iniciativas de divulgación científica para mantener un diálogo abierto con la ciudadanía. El IRB Barcelona es un centro internacional que acoge alrededor de 400 científicos de más de 30 nacionalidades. Reconocido como Centro de Excelencia Severo Ochoa desde 2011, es un centro CERCA y miembro del Barcelona Institute of Science and Technology (BIST).