Images
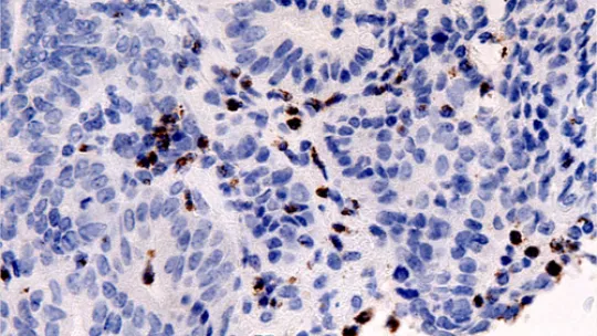
El equipo dirigido por el investigador ICREA del IRB, Angel Rodríguez Nebreda, identifica por primera vez en ratones que la proteína p38 MAPK es necesaria para la supervivencia y proliferación de las células tumorales de colon.
Los investigadores demuestran en el mismo estudio que un inhibidor de p38 que se ha utilizado en ensayos clínicos para otras enfermedades reduce el tamaño de los tumores en ratones.
El trabajo, que se publica este jueves en Cancer Cell, ha recibido financiación de la Fundación BBVA, del proyecto europeo InflaCare, del Ministerio de Economía y Competitividad, y del Consejo Europeo de Investigación (ERC).
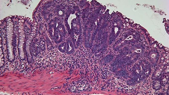
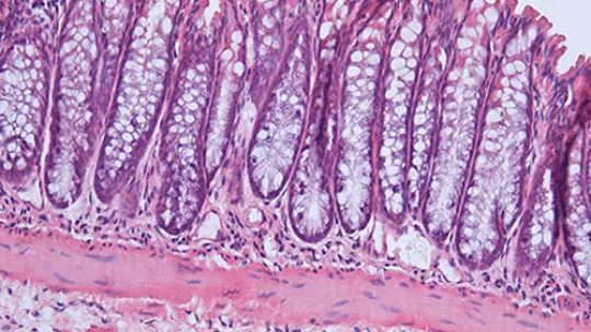
Un equipo liderado por Angel Rodríguez Nebreda del Instituto de Investigación Biomédica (IRB Barcelona) identifica una función dual de la proteína p38 MAPK en cáncer de colon. El trabajo demuestra, por un lado, que p38 es importante para mantener en buen estado la barrera epitelial que protege al intestino frente a agentes tóxicos, lo que contribuye a que se formen menos tumores. Por otro lado y curiosamente, cuando ya se ha formado un tumor, p38 es necesaria para la supervivencia y proliferación de las células tumorales de colon facilitando el desarrollo del tumor.
El estudio se publica hoy en Cancer Cell, una de las revistas de mayor impacto en investigación del cáncer.
p38 favorece la supervivencia de las células tumorales de colon
La proteína p38 es un miembro de la familia MAPK -moléculas que trasmiten señales del exterior hacia el interior para adecuar la respuesta celular según las necesidades de cada momento-, que se expresa en todas las células del cuerpo y desempeña funciones muy diversas dependiendo del contexto y del tejido.
El grupo de Angel R. Nebreda en el IRB estudia las funciones de p38 en cáncer. La investigación describe por primera vez con estudios in vivo el papel esencial de p38 en la progresión tumoral. Además, los científicos demuestran que tratando a los ratones con un inhibidor de p38 que se ha usado en ensayos clínicos, el tumor se reduce considerablemente. La investigación aporta información útil a clínicos y farmacéuticas sobre el papel de p38 en el contexto de cáncer de colon. El cáncer colorrectal es hoy la segunda causa de muerte por cáncer en el mundo.
“Los inhibidores de p38 pueden tener una utilidad pero muy probablemente, y eso forma parte de la medicina del futuro, sea en combinación con otros fármacos. Intentamos averiguar con qué habría que combinar los inhibidores de p38 para que ese tumor de colon que ahora es más pequeño, finalmente desaparezca”, explica el científico zamorano Angel R. Nebreda, jefe del Laboratorio de Señalización y Ciclo Celular en el IRB, Catedrático de Investigación Oncológica de la Fundación BBVA y profesor de investigación ICREA.
p38 suprime los estadios pre-tumorales con inflamación de colon
El papel de p38 en cáncer no es blanco o negro. En el mismo estudio, Jalaj Gupta, investigador de origen indio recién doctorado en el laboratorio de Nebreda y primer autor del trabajo, demuestra que la misma proteína en un escenario pre-tumoral, favorecido por la inflamación de colon o colitis, impide la formación de tumores.
Está bien establecido que los pacientes con inflamación crónica del intestino, como la enfermedad de Crohn, desarrollan tumores de colon en una proporción mucho más alta que la población normal. Los modelos de ratón utilizados por el equipo de Nebreda reproducen este escenario de inflamación para entender la relación entre inflamación y cáncer.
“Puesto que p38 regula la inflamación y también funciona como supresor tumoral en algunos modelos de ratón, el objetivo de nuestro trabajo era saber cómo estas dos funciones se integran durante el inicio del tumor de colon asociado a la inflamación”, dice Gupta.
Un importante hallazgo del presente estudio está relacionado con la función que desempeña p38 manteniendo intacta la estructura de la barrera epitelial, que protege al intestino frente a agentes tóxicos o patógenos. Los ratones a los que se había eliminado genéticamente p38 de las células epiteliales que forman la barrera intestinal, y se les aplicaba un protocolo cancerígeno que causa mutaciones e inflamación, desarrollaron el doble de tumores que aquellos ratones que, tratados con el mismo protocolo cancerígeno, tenían p38.
Esta función de supresión tumoral de p38, que impide el establecimiento de un tumor, también está descrita para cáncer de hígado y pulmón. “Nuestro trabajo pone de manifiesto la complejidad de las funciones de p38, tanto en cáncer como en el normal mantenimiento de los tejidos, ilustrando por qué un inhibidor de esta molécula puede tener efectos secundarios indeseados. Por ello hay que estudiar muy bien para qué pacientes y en qué contextos podrían aplicarse estos inhibidores”, explica Gupta.
“A día de hoy no existe ningún medicamento contra el cáncer que se libre de los efectos secundarios” recuerda Nebreda, “y en ese sentido los inhibidores de p38 no serían distintos. Ahora bien, podría ser útil administrarlos a pacientes con un cáncer de colon para reducir en unos pocos días el tamaño del tumor antes de extraerlo quirúrgicamente”.
Insiste Nebreda que los estudios de investigación básica de su laboratorio buscan entender la biología de las células tumorales, las funciones de las moléculas implicadas y los mecanismos que permiten la progresión del tumor.
“Esa información básica, intentamos llevarla un paso más allá para que pueda ser de utilidad en la clínica a la hora de diseñar posibles tratamientos”, señala este investigador que desde 2010 realiza sus estudios en el IRB, en Barcelona, tras desarrollar su carrera en Estados Unidos, Gran Bretaña y Alemania, y estar seis años en el Centro Nacional de Investigaciones Oncológicas (CNIO), en Madrid.
En colaboración con el equipo de Manuel Hidalgo en CNIO, el grupo de Nebreda está ahora estudiando ratones a los que se han implantado tumores de colon procedentes de varios pacientes. Los resultados preliminares confirman la importancia de p38 para el crecimiento de los tumores humanos. Los investigadores tienen también experimentos en marcha para investigar las funciones de p38 en la progresión de los tumores de mama y pulmón.
El trabajo, en el que ha participado también el grupo de Vassilis Gorgoulis de la Universidad de Atenas, se inició hace seis años dentro del proyecto europeo InflaCare sobre la relación entre inflamación y cáncer, y se ha finalizado con fondos del ministerio de Economía y Competitividad, y de un proyecto ERC Advanced Grant que el Consejo Europeo de Investigación otorgó a Nebreda en 2012.Los próximos estudios se ejecutarán dentro de este último proyecto que finalizará en 2017.
La capacidad competitiva del grupo de Angel R. Nebreda en el IRB se potencia con los fondos estructurales que la Fundación BBVA aporta a su laboratorio desde que en 2011 lo designara Catedrático de Investigación Oncológica FBBVA.
Artículo de referencia:
Dual function of p38alpha MAPK in colon cancer: suppression of colitis-associated tumor initiation but requirement for cancer cell survival
Jalaj Gupta, Ivan del Barco Barrantes, Ana Igea, Stratigoula Sakellariou, Ioannis S. Pateras, Vassilis G. Gorgoulis and Angel R. Nebreda
Cancer Cell (2014) http://dx.doi.org/10.1016/j.ccr.2014.02.019
IRB Barcelona
El Instituto de Investigación Biomédica (IRB Barcelona) trabaja para conseguir una vida libre de enfermedades. Desarrolla una investigación multidisciplinar de excelencia para curar el cáncer y otras enfermedades vinculadas al envejecimiento. Establece colaboraciones con la industria farmacéutica y los principales hospitales para hacer llegar los resultados de la investigación a la sociedad, a través de la transferencia de tecnología, y realiza diferentes iniciativas de divulgación científica para mantener un diálogo abierto con la ciudadanía. El IRB Barcelona es un centro internacional que acoge alrededor de 400 científicos de más de 30 nacionalidades. Reconocido como Centro de Excelencia Severo Ochoa desde 2011, es un centro CERCA y miembro del Barcelona Institute of Science and Technology (BIST).