Images
L’equip dirigit per l’investigador ICREA de l’IRB, Angel Rodríguez Nebreda, identifica per primera vegada en ratolins que la proteïna p38 MAPK és necessària per a la supervivència i proliferació de les cèl·lules tumorals de còlon.
Els investigadors demostren en el mateix estudi que un inhibidor de p38 que s’ha usat en assajos clínics per altres malalties redueix la mida dels tumors en ratolins.
El treball, que es publica aquest dijous a Cancer Cell, ha rebut finançament de la Fundació BBVA, del projecte europeu InflaCare, del Ministeri d’Economia i Competitivitat, i del Consell Europeu de Recerca (ERC en anglès).
Un equip liderat per Angel Rodríguez Nebreda de l’Institut de Recerca Biomèdica (IRB Barcelona) identifica una funció dual de la proteïna p38 MAPK a càncer de còlon.
El treball demostra, per una banda, que p38 és important per mantenir en bon estat la barrera epitelial que protegeix l’intestí davant d’agents tòxics, el que contribueix a que es formin menys tumors. Per altra banda i curiosament, quan ja s’ha format un tumor, p38 és necessària per a la supervivència i proliferació de les cèl·lules tumorals de còlon facilitant el desenvolupament del tumor.
L’estudi es publica avui en edició online avançada de Cancer Cell, una de les revistes de major impacte en recerca del càncer.
p38 afavoreix la supervivència de les cèl·lules tumorals de còlon
La proteïna p38 és un membre de la família MAPK -molècules que trasmeten senyals de l’exterior cap a l’interior per adequar la resposta cel·lular segons les necessitats de cada moment-, que s’expressa a totes les cèl·lules del cos i desenvolupa funcions molt diverses segons el context i el teixit.
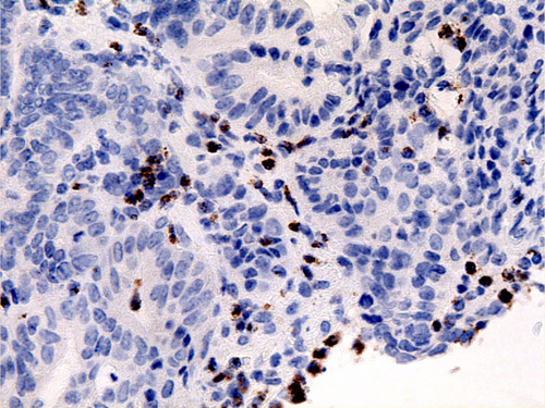
El grup d’Angel R. Nebreda a l’IRB estudia les funcions de p38 en càncer. La investigació descriu per primera vegada amb estudis in vivo el paper essencial de p38 en la progressió tumoral. A més, els científics demostren que quan tracten els ratolins amb un inhibidor de p38 que s’ha usat en assajos clínics, el tumor es redueix considerablement. La recerca aporta informació útil a clínics i farmacèutiques sobre el paper de p38 en el context de càncer de còlon. El càncer colorectal és avui la segona causa de mort per càncer al món.
“Els inhibidors de p38 poden tenir una utilitat però molt probablement, i això forma part de la medicina del futur, sigui en combinació amb d’altres fàrmacs. Intentem esbrinar amb què caldria combinar els inhibidors de p38 perquè aquest tumor de còlon que ara és més petit, finalment desaparegui”, explica el científic Angel R. Nebreda, cap del Laboratori de Senyalització i Cicle Cel·lular a l’IRB, Catedràtic de Recerca Oncològica de la Fundació BBVA i professor de recerca ICREA.
p38 suprimeix els estadis pre-tumorals amb inflamació de còlon
El paper de p38 en càncer no és blanc o negre. En el mateix estudi, Jalaj Gupta, investigador d’origen indi recent doctorat al laboratori de Nebreda i primer autor del treball, demostra que la mateixa proteïna en un escenari pre-tumoral, afavorit per la inflamació de còlon o colitis, impedeix la formació de tumors.
Està ben establert que els pacients amb inflamació crònica de l’intestí, com la malaltia de Crohn, desenvolupen tumors de còlon en una proporció molt més alta que la població normal. Els models de ratolí usats per l’equip de Nebreda reprodueixen aquest escenari d’inflamació per entendre la relació entre inflamació i càncer.
“Donat que p38 regula la inflamació i també funciona com a supressor tumoral en alguns models de ratolí, l’objectiu del nostre treball era saber com aquestes dues funcions s’integren durant l’inici del tumor de còlon associat a la inflamació”, diu Gupta.
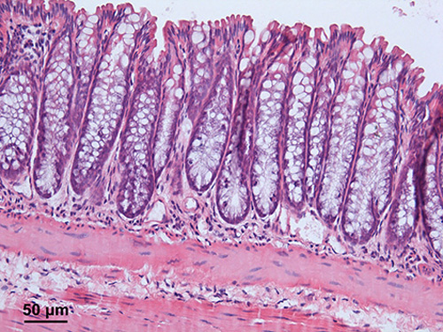
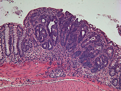
Una troballa destacada d’aquest estudi està relacionada amb la funció que p38 fa mantenint intacta l’estructura de la barrera epitelial, que protegeix l’intestí davant d’agents tòxics o patògens. Els ratolins als que havien eliminat genèticament p38 de les cèl·lules epitelials que formen la barrera intestinal, i se’ls aplicava un protocol cancerigen que causa mutacions i inflamació, van desenvolupar el doble de tumors que aquells ratolins que, tractats amb el mateix protocol cancerigen, tenien p38. Aquesta funció de supressió tumoral de p38, que impedeix l’establiment d’un tumor, també està descrita per càncer de fetge i pulmó.
“El treball posa de manifest la complexitat de les funcions de p38, tant en càncer com en el manteniment normal dels teixits, i il·lustra perquè un inhibidor d’aquesta molècula pot tenir efectes secundaris. Per això cal estudiar molt bé per a quins pacients i en quins contextos podrien aplicar-se aquests inhibidors”, explica Gupta.
“A dia d’avui no existeix cap medicament contra el càncer que es lliuri dels efectes secundaris” recorda Nebreda, “i en aquest sentit els inhibidors de p38 no serien diferents. Ara bé, podria ser útil administrar-los a pacients amb un càncer de còlon per reduir en pocs dies la mida del tumor abans d’extreure’l quirúrgicament”.
Insisteix Nebreda que els estudis de recerca bàsica del seu laboratori busquen entendre la biologia de les cèl·lules tumorals, les funcions de les molècules implicades i els mecanismes que permeten la progressió del tumor. “Aquesta informació bàsica, procurem dur-la un pas més enllà perquè pugui ser d’utilitat en la clínica a l’hora de dissenyar possibles tractaments”, assenyala aquest investigador que des de 2010 realitza el seus estudis a l’IRB, a Barcelona, després de desenvolupar la seva carrera als Estats Units, Gran Bretanya i Alemanya, i estar sis anys al Centre Nacional d’Investigacions Oncològiques (CNIO), a Madrid.
En col·laboració amb l’equip de Manuel Hidalgo al CNIO, el grup de Nebreda està ara estudiant ratolins als quals se’ls ha implantat tumors de còlon de diversos pacients. Els resultats preliminars confirmen la importància de p38 per al creixement dels tumors humans. Els investigadors tenen també experiments en marxa per investigar les funcions de p38 en la progressió dels tumors de mama i pulmó.
El treball, en el que ha participat també el grup de Vassilis Gorgoulis de la Universitat d’Atenes, es va iniciar fa sis anys dins del projecte europeu InflaCare sobre la relació entre inflamació i càncer, i s’ha finalitzat amb fons del ministeri d’Economia i Competitivitat, i d’un projecte ERC Advanced Grant que el Consell Europeu de Recerca va atorgar a Nebreda el 2012. Els propers estudis s’executaran dins d’aquest últim projecte que finalitzarà el 2017.
La capacitat competitiva del grup d’Angel R. Nebreda a l’IRB es potencia amb els fons estructurals que la Fundació BBVA aporta al seu laboratori des que el 2011 el va designar Catedràtic de Recerca Oncològica FBBVA.
Article de referència:
Dual function of p38alpha MAPK in colon cancer: suppression of colitis-associated tumor initiation but requirement for cancer cell survival
Jalaj Gupta, Ivan del Barco Barrantes, Ana Igea, Stratigoula Sakellariou, Ioannis S. Pateras, Vassilis G. Gorgoulis and Angel R. Nebreda
Cancer Cell (2014) http://dx.doi.org/10.1016/j.ccr.2014.02.019
IRB Barcelona
L’Institut de Recerca Biomèdica (IRB Barcelona) treballa per aconseguir una vida lliure de malalties. Desenvolupa una recerca multidisciplinària d’excel·lència per curar el càncer i altres malalties vinculades a l'envelliment. Treballa establint col·laboracions amb la indústria farmacèutica i els principals hospitals per fer arribar els resultats de la recerca a la societat a través de la transferència de tecnologia, i du a terme diferents iniciatives de divulgació científica per mantenir un diàleg obert amb la ciutadania. L’IRB Barcelona és un centre internacional que acull al voltant de 400 investigadors de més de 30 nacionalitats. Reconegut com a Centre d'Excel·lència Severo Ochoa des de 2011, és un centre CERCA i membre del Barcelona Institute of Science and Technology (BIST).