Images
Científics de l'IRB Barcelona aporten noves dades que reforcen la teoria de la relació entre cèl·lules mare i càncer. Aquests resultats apunten cap a noves eines diagnòstiques i terapèutiques contra la malaltia.
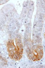
Les cèl·lules del càncer colorectal activen un conjunt de gens molt similar al de les cèl·lules mare de l'intestí. Això és el que demostren científics de l'Institut de Recerca Biomèdica (IRB Barcelona) que, liderats per l'investigador ICREA Eduard Batlle, proposen l’estudi genètic de l’epiteli de l'intestí per preveure aquells pacients que afectats per la malaltia tenen un major risc de recaiguda. Aquest treball, que es publica aquesta setmana en l’edició online de la prestigiosa revista Cell Stem Cell, ofereix noves possibilitats per al diagnòstic i la creació de tractaments contra el càncer.
El càncer de còlon representa la segona causa de mort per càncer a tot el món. El tractament habitual per combatre la malaltia combina la cirurgia amb la quimioteràpia. Després d’aquests tractaments, els pacients presenten períodes de remissió, que poden ser de mesos i fins i tot anys, després dels quals un 40% d’ells desenvolupen recaigudes que en la majoria dels casos es presenten en forma de metàstasi. "Aquestes dades demostren que hi ha cèl·lules dintre del tumor que regeneren la malaltia, encara que sabem ben poc de les bases biològiques que ho provoquen", explica Batlle.
El "nucli dur" del càncer
Els resultats obtinguts per Anna Merlos-Suárez, primera autora de l’article, i la resta d’investigadors de l’equip de Batlle indiquen que hi ha una estreta associació entre les cèl·lules mare intestinals (cèl·lules no especialitzades que generen la resta de cèl·lules de l'intestí) i el càncer colorectal. Els científics van comparar els gens activats per les diferents cèl·lules de l'intestí sa - cèl·lules mare i les cèl·lules ja especialitzades - amb els dels tumors provinents de pacients. "Les nostres anàlisis mostren que els pacients amb càncer de còlon activen gens molt similars als de les cèl·lules mare, i quan més gran és aquesta relació més probabilitats tenen els pacients de que el càncer es propagui i de patir recaigudes."
Aquests gens característics de cèl·lules mare són activats per un grup específic de cèl·lules del tumor, les anomenades " cèl·lules mare tumorals". Quan l’equip de Batlle va trasplantar aquestes cèl·lules en ratolins, aquests van desenvolupar la malaltia. Aquests resultats reforcen la hipòtesi que el càncer s’organitza d’una forma jeràrquica en la qual només algunes de les seves cèl·lules, les " cèl·lules mare tumorals", són capaces d’iniciar i expandir el tumor.
Quines propietats tenen les cèl·lules mare per a beneficiar el càncer? Per definició, les cèl·lules mare renoven teixits, en aquest cas l'epiteli de l'intestí, podent arribar a produir fins a 5 grams de cèl·lules d’epiteli intestinal al dia. La comunitat científica creu que els tumors podrien utilitzar aquestes característiques de renovació indefinida per poder créixer i expandir-se. D’altra banda, mentre que la majoria de les cèl·lules viuen dies, com és el cas de les cèl·lules epitelials de l'intestí, o mesos, les cèl·lules mare viuen amb nosaltres durant anys. Això fa que augmenti la probabilitat que acumulin danys a l’ADN i es transformin en cèl·lules mare canceroses.
Actualment, un dels problemes més grans que tenen els oncòlegs és la manca d’eines per identificar aquells pacients amb més probabilitat de recaigudes. L’estreta associació entre les cèl·lules mare intestinals i l’expansió de la malaltia pot representar un important avanç en aquest aspecte. A més, el fet que el càncer colorectal necessiti d’un tipus específic de cèl·lules per desenvolupar-se i continuar creixent, hipòtesi ja demostrada en altres tipus de càncer com els gliomes, alguns tipus de limfomes o el càncer de mama, obre la possibilitat de generar nous tractaments dirigits contra aquestes noves dianes del càncer: les cèl·lules mare tumorals.
Article de referència:
The intestinal stem cell program predicts colorectal cancer relapse and identifies tumor stem cell niches
Anna Merlos-Suárez, Francisco M. Barriga, Peter Jung, Mar Iglesias, María Virtudes Céspedes, David Rossell, Marta Sevillano, Xavier Hernando-Momblona, Victoria da Silva-Diz, Purifi cación Muñoz, Hans Clevers, Elena Sancho, Ramón Mangues and Eduard Batlle.
Cell Stem Cell (2011) [doi: 10.1016/j.stem.2011.02.020]
Coneix el nostre Repte Metàstasi per sumar tota la societat en la recerca contra la metàstasi.
IRB Barcelona
L’Institut de Recerca Biomèdica (IRB Barcelona) treballa per aconseguir una vida lliure de malalties. Desenvolupa una recerca multidisciplinària d’excel·lència per curar el càncer i altres malalties vinculades a l'envelliment. Treballa establint col·laboracions amb la indústria farmacèutica i els principals hospitals per fer arribar els resultats de la recerca a la societat a través de la transferència de tecnologia, i du a terme diferents iniciatives de divulgació científica per mantenir un diàleg obert amb la ciutadania. L’IRB Barcelona és un centre internacional que acull al voltant de 400 investigadors de més de 30 nacionalitats. Reconegut com a Centre d'Excel·lència Severo Ochoa des de 2011, és un centre CERCA i membre del Barcelona Institute of Science and Technology (BIST).