Images
Investigadors de l’IRB Barcelona han descobert noves funcions de les proteïnes p38 durant el desenvolupament embrionari. El treball, liderat pel Professor d’investigació ICREA i Catedràtic de Recerca Oncològica Fundació BBVA Ángel Rodríguez Nebreda, es publica aquesta setmana a la versió online de la revista Proceedings of the National Academy of Sciences of the United States of America (PNAS).
Les proteïnes p38α i p38β són unes peces fonamentals de les cèl•lules que controlen funcions tan importants com la proliferació, la diferenciació o la mort cel•lular. Aquestes funcions expliquen que alteracions en aquestes proteïnes puguin facilitar la formació de tumors. Tot i que estudis anteriors han caracteritzat aquestes proteïnes, són molt pocs els estudis genètics que han caracteritzat les seves funcions “in vivo” en mamífers.
Un "truc" genètic que posa les bases per a l’estudi de malalties humanes
El treball, realitzat principalment per Iván del Barco Barrantes, primer autor de l’article, ha aconseguit eliminar per primera vegada mitjançant tècniques genètiques les proteïnes p38α i p38β en ratolí. Aquesta nova aproximació ha permès estudiar el paper d’aquestes proteïnes des d’un punt de vista global, i no la seva funció per separat tal i com s’havia fet fins ara.
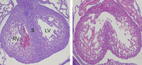
Els resultats de l’estudi han demostrat que els animals sense p38α i p38β pateixen greus alteracions durant el desenvolupament embrionari, incloent-hi absència del septe cardíac - que separa la sang oxigenada i la no oxigenada al cor -, reducció de la paret muscular del miocardi, alteracions hepàtiques i tancament incomplet del tub neural o del crani. Aquests efectes provoquen greus errors multiorgànics que fan que l’embrió no completi la gestació. "Aquestes funcions de p38α i p38β no s’observen quan eliminem les proteïnes per separat, lo que suggereix que col•laboren i tenen funcions solapants durant el desenvolupament embrionari", declara Nebreda.
Aquest treball anticipa que les proteïnes p38α i p38β poden cooperar en altres contextos diferents que no siguin el desenvolupament embrionari, com el càncer o malalties cardíaques. A més, "l’estratègia genètica que hem desenvolupat per eliminar simultàniament p38α i p38β ens permetrà estudiar d’una forma més detallada els efectes secundaris d’algunes drogues que bloquegen l’acció de les dues proteïnes".
Article de referència: Genetic analysis of specific and redundant roles for p38α and p38β MAPKs during mouse development. Ivan del Barco Barrantes, Juan Manuel Coya, Flavio Maina, J. Simon C. Arthur, and Angel R. Nebreda. PNAS (2011). [doi: 10.1073/pnas.1015013108]
IRB Barcelona
L’Institut de Recerca Biomèdica (IRB Barcelona) treballa per aconseguir una vida lliure de malalties. Desenvolupa una recerca multidisciplinària d’excel·lència per curar el càncer i altres malalties vinculades a l'envelliment. Treballa establint col·laboracions amb la indústria farmacèutica i els principals hospitals per fer arribar els resultats de la recerca a la societat a través de la transferència de tecnologia, i du a terme diferents iniciatives de divulgació científica per mantenir un diàleg obert amb la ciutadania. L’IRB Barcelona és un centre internacional que acull al voltant de 400 investigadors de més de 30 nacionalitats. Reconegut com a Centre d'Excel·lència Severo Ochoa des de 2011, és un centre CERCA i membre del Barcelona Institute of Science and Technology (BIST).