Images
Investigadores del laboratorio de Desarrollo y Control del Crecimiento del IRB Barcelona han desvelado los mecanismos por los cuales las células entran en senescencia a partir de un desequilibrio en el número de cromosomas.
La inestabilidad cromosómica es un rasgo común en la mayoría de tumores sólidos, como el carcinoma, y entender en detalle su relación con el cáncer puede ayudar a encontrar nuevas dianas terapéuticas.
Los resultados han sido publicados en la revista Developmental Cell.
La inestabilidad cromosómica es una característica de los tumores sólidos, como el carcinoma. Asimismo, la senescencia celular es un proceso altamente relacionado con el envejecimiento celular y su vínculo con el cáncer está cada vez más claro. Científicos del IRB Barcelona, liderados por el investigador ICREA Dr. Marco Milán, han desvelado el nexo de unión entre la inestabilidad cromosómica y la senescencia celular.
“La inestabilidad cromosómica y la senescencia son dos características comunes en gran parte de los tumores y, sin embargo, no se conocía cómo una se relacionaba con la otra. Nuestros estudios señalan que la senescencia puede ser uno de los eslabones intermedios entre las alteraciones cromosómicas y el cáncer”, explica el Dr. Milán, jefe del laboratorio de Desarrollo y Control del Crecimiento del IRB Barcelona.
“El comportamiento que veíamos en las células con inestabilidad cromosómica nos hacía pensar que podían ser células senescentes y... ¡efectivamente, así fue!”, afirma el Dr. Jery Joy, primer autor del artículo publicado en Developmental Cell.
El estudio se ha llevado a cabo en la mosca Drosophila, un modelo de estudio comúnmente utilizado en biomedicina, y los mecanismos descritos pueden ayudar a entender la contribución de la inestabilidad cromosómica y la senescencia al cáncer y contribuir a identificar posibles dianas terapéuticas.
Revertir los efectos de la inestabilidad cromosómica
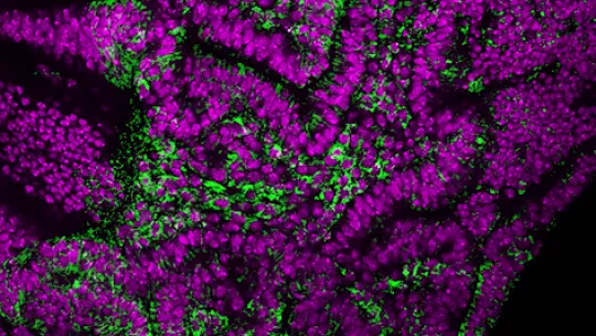
Los investigadores del laboratorio de Desarrollo y Control del Crecimiento del IRB Barcelona han demostrado que, en un tejido epitelial con altos niveles de inestabilidad cromosómica, aquellas células con un equilibrio alterado del número de cromosomas se desprenden de sus células vecinas y entran en senescencia. Las células senescentes se caracterizan por tener el ciclo celular detenido de manera permanente y por secretar un número elevado de proteínas. Esta secreción anómala de proteínas genera alteraciones en el tejido circundante, alertando al sistema inmunitario y generando inflamación.
Si las células senescentes no son eliminadas por el organismo inmediatamente, promueven un crecimiento anómalo del tejido circundante, dando lugar a tumores malignos. “Si encontramos los mecanismos por los cuales reducimos el número de células senescentes, entonces seremos capaces de reducir el crecimiento de estos tumores”, plantea el Dr. Milán. “Y de hecho, este trabajo demuestra que esto es posible, al menos en Drosophila”, comenta el Dr. Joy.
Las células con un número desequilibrado de cromosomas acumulan un alto número de mitocondrias aberrantes y, por lo tanto, un alto nivel de estrés oxidativo que activa la vía de señalización de JNK, que induce la entrada en senescencia. “Hemos demostrado que reducir este alto número anómalo de mitocondrias, o regular el estrés oxidativo inducido por éstas, es suficiente para disminuir el número de células senescentes y los efectos negativos de la inestabilidad cromosómica”, reitera Dr. Joy.
Estos descubrimientos abren nuevas vías de estudio para encontrar dianas terapéuticas y reducir los niveles de senescencia en tumores sólidos, como consecuencia de la inestabilidad cromosómica.
Extrapolando de la mosca a los mamíferos
La mosca del vinagre, Drosophila melanogaster, es un modelo de estudio comúnmente utilizado en biomedicina. Un ciclo de vida corto, un gran número de herramientas genéticas disponibles, y la presencia de los mismos genes que en humanos, pero con un menor nivel de redundancia, justifican el uso de Drosophila Melanogaster en la investigación del cáncer.
De hecho, aquellos experimentos diseñados para diseccionar la relación causal entre comportamientos o características celulares encontradas en tumores humanos, como son la inestabilidad cromosómica y la senescencia, son más fácilmente analizables en este organismo modelo.
Futuros trabajos del laboratorio continuarán diseccionando los mecanismos moleculares responsables de los comportamientos celulares encontrados en tumores sólidos de origen epitelial producidos por la sola inducción de inestabilidad cromosómica. “Cuanto mejor entendamos la biología de un tejido sometido a inestabilidad cromosómica y los mecanismos moleculares responsables de los comportamientos celulares que emergen y dan lugar a tumores malignos, mayores posibilidades tendremos para diseñar terapias efectivas y reducir el crecimiento y malignidad de los carcinomas humanos”, concluye el Dr. Milán.
Este trabajo ha sido financiado por Ministerio de Ciencia e Innovación y los fondos FEDER.
Artículo de referencia:
Proteostasis failure and mitochondrial dysfunction leads to aneuploidy-induced senescence
Jery Joy, Lara Barrio, Celia Santos-Tapia, Daniela Romão, Nikolaos Nikiforos Giakoumakis, Marta Clemente-Ruiz & Marco Milán
Developmental Cell (2021) DOI: 10.1016/j.devcel.2021.06.009
IRB Barcelona
El Instituto de Investigación Biomédica (IRB Barcelona) trabaja para conseguir una vida libre de enfermedades. Desarrolla una investigación multidisciplinar de excelencia para curar el cáncer y otras enfermedades vinculadas al envejecimiento. Establece colaboraciones con la industria farmacéutica y los principales hospitales para hacer llegar los resultados de la investigación a la sociedad, a través de la transferencia de tecnología, y realiza diferentes iniciativas de divulgación científica para mantener un diálogo abierto con la ciudadanía. El IRB Barcelona es un centro internacional que acoge alrededor de 400 científicos de más de 30 nacionalidades. Reconocido como Centro de Excelencia Severo Ochoa desde 2011, es un centro CERCA y miembro del Barcelona Institute of Science and Technology (BIST).