Pasar al contenido principal

Descubierto un mecanismo clave para la formación del tejido adiposo marrón que previene la obesidad

Images

  • Investigadores del IRB Barcelona vinculan la autofagia (un mecanismo natural de renovación de componentes celulares) con el correcto desarrollo de las células adiposas marrones.
  • El tejido adiposo marrón está relacionado con el mantenimiento de la temperatura corporal y la producción de energía.
  • El estudio, publicado en la revista Autophagy, desvela que un mal funcionamiento de este mecanismo se vincula con mayores tasas de obesidad.

La obesidad es un problema creciente de salud a nivel global y su prevalencia se ha triplicado desde el año 1975. A nivel mundial, hay más de 650 millones de personas afectadas y en España el 28% de los mayores de 18 años presentan esta patología compleja. La obesidad está relacionada con enfermedades como la Diabetes tipo II, enfermedades cardiovasculares, la osteoartritis y ciertas formas de cáncer.

El tejido adiposo es el encargado de gestionar la reserva de grasas del cuerpo y existen dos tipos diferenciados: el tejido adiposo blanco, que almacena reservas energéticas en forma de lípidos, mientras que la función metabólica del tejido adiposo marrón es la oxidación de lípidos para producir calor.

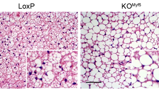
Investigadores del IRB Barcelona, liderados por el Dr. Antonio Zorzano, Catedrático de la Facultad de Biología de la Universidad de Barcelona (UB) y miembro del CIBERDEM, han descrito un mecanismo que regula la correcta formación del tejido adiposo marrón a través de la autofagia, un proceso natural de renovación celular.  En concreto, los científicos han descrito cómo la proteína NCOR1, que regula varios genes, necesita ser degradada mediante un mecanismo conocido como autofagia, para que las células del tejido adiposo marrón se desarrollen con normalidad.

 

Imagen

La proteína encargada de “marcar” NCOR1 para su eliminación es la proteína  TP53INP2 que, en el laboratorio de Enfermedades Metabólicas Complejas y Mitocondrias del IRB Barcelona, llevan años estudiando. Los investigadores han comprobado también, utilizando modelos animales de ratón, cómo un tejido adiposo defectuoso o insuficiente (debido a que la eliminación de TP53INP2 provoca un error en la degradación de NCOR1), se asocia a mayores niveles de obesidad.

“Hay una clara correlación entre niveles bajos de tejido adiposo marrón y obesidad, pero aún no sabemos si es causa o consecuencia. Nuestro descubrimiento abre la vía para intervenir en los procesos de autofagia para reforzar este tejido adiposo marrón y así prevenir o tratar la obesidad y otras enfermedades metabólicas asociadas”, explica el Dr. Zorzano.

 

La autofagia como herramienta de regulación

La autofagia es un proceso natural de degradación de componentes celulares. Inicialmente se creía que respondía principalmente a labores de “limpieza” de elementos dañados o envejecidos. Sin embargo, desde hace algunos años, la evidencia científica la señala como un elemento clave de la regulación de las funciones celulares, eliminando proteínas que ejercen determinadas funciones.

Este estudio, relaciona la autofagia y la obesidad, a través del desarrollo de tejido adiposo marrón. “En un trabajo anterior también habíamos observado que la proteína TP53INP2 tiene el efecto contrario en la formación del tejido adiposo blanco, es decir, reprime su formación. Esto convierte a esta proteína en una aliada para un manejo más saludable de las grasas, ya que a la vez promueve su oxidación y previene su acumulación”, concluye la Dra. Alba Sabaté, investigadora postdoctoral del mismo laboratorio y primera autora del estudio.


El trabajo se ha llevado a cabo en colaboración con grupos de investigación a nivel nacional del Vall d'Hebron Institut de Recerca (VHIR), de la Facultad de Medicina y Ciencias de la Salud de la Universidad de Barcelona, y a nivel internacional con científicos de la Universidad de Cambridge.

 

Artículo relacionado:
Autophagy-mediated NCOR1 degradation is required for brown fat maturation and thermogenesis
Alba Sabaté-Pérez, Montserrat Romero, Paula Sànchez-Fernàndez-de-Landa, Stefania Carobbio, Michail Mouratidis, David Sala, Pablo Engel, Josep A Villena, Sam Virtue, Antonio Vidal-Puig, Manuel Palacín, Xavier Testar & Antonio Zorzano
Autophagy (2022) DOI: 10.1080/15548627.2022.2111081

 

IRB Barcelona

El Instituto de Investigación Biomédica (IRB Barcelona) trabaja para conseguir una vida libre de enfermedades. Desarrolla una investigación multidisciplinar de excelencia para curar el cáncer y otras enfermedades vinculadas al envejecimiento. Establece colaboraciones con la industria farmacéutica y los principales hospitales para hacer llegar los resultados de la investigación a la sociedad, a través de la transferencia de tecnología, y realiza diferentes iniciativas de divulgación científica para mantener un diálogo abierto con la ciudadanía. El IRB Barcelona es un centro internacional que acoge alrededor de 400 científicos de más de 30 nacionalidades. Reconocido como Centro de Excelencia Severo Ochoa desde 2011, es un centro CERCA y miembro del Barcelona Institute of Science and Technology (BIST).

Participantes

Contacto

Imagen
ADMIN_Barberia
Section Head of Communication & Outreach
Tel.+34 93 40 37255