Skip to main content

Discovery of a key mechanism behind the formation of brown adipose tissue, which prevents obesity

Images

  • Researchers at IRB Barcelona link autophagy (a natural mechanism for renewing cellular components) with the correct development of brown adipose cells.
  • Brown adipose tissue is associated with the maintenance of body temperature and energy production.
  • Published in the journal Autophagy, the study reveals that the dysregulation of this mechanism is connected to greater rates of obesity.

Obesity is a growing global health problem and its prevalence has tripled since 1975. More than 650 million people are affected by this condition worldwide, and 28% of people in Spain over 18 years of age have this complex pathology. Obesity is linked to conditions such as type II diabetes, cardiovascular disease, osteoarthritis, and certain forms of cancer.

Adipose tissue is responsible for managing the body's fat reserve and there are two types, namely white adipose tissue, which stores energy reserves in the form of lipids, and brown adipose tissue, which oxidises lipids to produce heat.

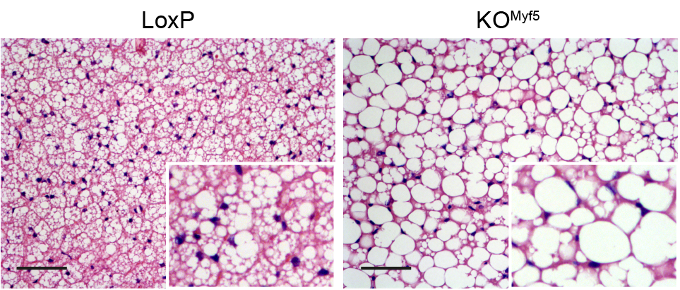
Researchers at IRB Barcelona, led by Dr. Antonio Zorzano, Professor at the Faculty of Biology, University of Barcelona (UB) and member of CIBERDEM, have described a mechanism that regulates the correct formation of brown adipose tissue through autophagy, a natural cell renewal process. In short, the scientists have described the way in which the NCOR1 protein, which regulates several genes, is degraded through a mechanism known as autophagy to ensure the correct development of brown adipose tissue.

Image

NCOR1 is labelled for degradation by the protein TP53INP2, which the Complex Metabolic Disease and Mitochondria lab at IRB Barcelona have spent years studying. Using mouse models, the researchers have also confirmed the association between defective or insufficient adipose tissue (due to the elimination of TP53INP2, which causes NCOR1 degradation to fail) and higher levels of obesity.

“There is a clear correlation between low levels of brown adipose tissue and obesity, but we still don't know if it is a cause or a consequence. Our discovery paves the way to intervening in autophagic processes to reinforce this brown adipose tissue and thus prevent or treat obesity and other associated metabolic diseases,” says Dr. Zorzano.

 

Autophagy as a regulatory mechanism

Autophagy is a natural process through which cellular components are degraded. Initially, it was believed that this process was mainly devoted to "cleaning up" damaged or aged elements. However, for some years now, scientific evidence has pointed to it being a key element in the regulation of cellular functions by eliminating proteins that perform certain functions.

This study links autophagy and obesity through the development of brown adipose tissue. “In a previous study, we also observed that the TP53INP2 protein has the opposite effect on white adipose tissue formation, that is, it represses this process. This makes this protein an ally for a healthier management of fats, since it promotes its oxidation and prevents its accumulation,” says Dr. Alba Sabaté, postdoctoral researcher from the same laboratory and first author of the study.

 

At the national level, the study has been carried out in collaboration with research groups at the Vall d'Hebron Research Institute (VHIR) and the Faculty of Medicine and Health Sciences of the University of Barcelona, and at the international level with scientists from the University of Cambridge

 

Related article:
Autophagy-mediated NCOR1 degradation is required for brown fat maturation and thermogenesis
Alba Sabaté-Pérez, Montserrat Romero, Paula Sànchez-Fernàndez-de-Landa, Stefania Carobbio, Michail Mouratidis, David Sala, Pablo Engel, Josep A Villena, Sam Virtue, Antonio Vidal-Puig, Manuel Palacín, Xavier Testar & Antonio Zorzano
Autophagy (2022) DOI: 10.1080/15548627.2022.2111081

 

 

About IRB Barcelona

The Institute for Research in Biomedicine (IRB Barcelona) pursues a society free of disease. To this end, it conducts multidisciplinary research of excellence to cure cancer and other diseases linked to ageing. It establishes technology transfer agreements with the pharmaceutical industry and major hospitals to bring research results closer to society, and organises a range of science outreach activities to engage the public in an open dialogue. IRB Barcelona is an international centre that hosts 400 researchers and more than 30 nationalities. Recognised as a Severo Ochoa Centre of Excellence since 2011, IRB Barcelona is a CERCA centre and member of the Barcelona Institute of Science and Technology (BIST).

Participants

Contact

Image
ADMIN_Barberia
Section Head of Communication & Outreach
Tel.+34 93 40 37255