Images
Researchers at IRB Barcelona discover new roles of p38 proteins during embryonic development. The study, headed by ICREA Research Professor and BBVA Foundation Cancer Research Professor Ángel Rodríguez Nebreda, has been published this week in the online version of Proceedings of the National Academy of Sciences of the United States of America (PNAS).
The proteins p38α and p38β are key components of cells that control essential functions such as cell proliferation, differentiation and death. This would explain that a defect in these proteins causes alterations in cell regulation, which may lead to the development of tumors. Although many studies have characterized these proteins, few genetic studies have been done on their function “in vivo” in mammals.
A genetic “trick” that paves the way for the study of humans diseases
The study has been conducted mainly by Dr. Iván del Barco Barrantes, first author of the article. Using gene manipulation, he has managed to deleted p38α and p38β from the mouse. This new approach has allowed these researchers to study for the first time the role of those proteins as a whole rather than the separate function of each, which is what has been done until now.
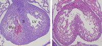
The results of the study have demonstrated that the deletion of p38α and p38β expression leads to severe alterations in embryonic development, including the lack of a cardiac septum – which separates oxygenated from non-oxygenated blood in the heart– and a reduction in the thickness of the myocardial wall, as well as alterations in the liver and the incomplete closure of the neural tube or the cranium. These alterations cause serious multi-organ failure in the embryo, thereby impeding development to term. “These functions of p38α and p38β are not observed when each protein is deleted separately, which suggests that they collaborate and have overlapping functions during embryo development”, explains Nebreda.
On the basis of their findings, these scientists propose that p38α and p38β may cooperate in contexts other than embryo development, such as in cancer and cardiac diseases. Furthermore, “the genetic strategy that we have designed for the simultaneous deletion of p38α and p38β will allow us to study in greater depth the secondary effects of some drugs that inhibit the action of these two proteins”.
Reference article: Genetic analysis of specific and redundant roles for p38α and p38β MAPKs during mouse development. Ivan del Barco Barrantes, Juan Manuel Coya, Flavio Maina, J. Simon C. Arthur, and Angel R. Nebreda. PNAS (2011). [doi: 10.1073/pnas.1015013108]
About IRB Barcelona
The Institute for Research in Biomedicine (IRB Barcelona) pursues a society free of disease. To this end, it conducts multidisciplinary research of excellence to cure cancer and other diseases linked to ageing. It establishes technology transfer agreements with the pharmaceutical industry and major hospitals to bring research results closer to society, and organises a range of science outreach activities to engage the public in an open dialogue. IRB Barcelona is an international centre that hosts 400 researchers and more than 30 nationalities. Recognised as a Severo Ochoa Centre of Excellence since 2011, IRB Barcelona is a CERCA centre and member of the Barcelona Institute of Science and Technology (BIST).