Skip to main content

Histopathology Facility

The Histopathology Core Facility is a centralized service that provides a full range of histopathological resources and training opportunities to the IRB Barcelona scientific community, as well as to external public and private biomedical centres. Thanks to its highly qualified staff and specialized equipment, the facility is able to offer tailored, cost-effective services and expert support. 

For more information, please contact histopathology@irbbarcelona.org

Consult the service rates

  • Whole rodent necropsy, tissue collection, gross examination with report
  • Hematology and biochemical chemistry analysis
  • Training in necropsy techniques, including blood collection and perfusion
  • Sample fixation (cell pellets, organoids, tissues and organs, bone fixation and decalcification)
  • Tissue trimming, freezing fresh tissue in OCT and formalin fixed paraffin embedding (FFPE) tissue for histology
  • Tissue sectioning (FFPE and OCT)
  • Routine Hematoxylin and Eosin staining of tissue sections
  • Specialized histochemical staining of sections (e.g. Trichrome, PAS, Pearl´s, and many other stains)
  • Immunohistochemistry (IHC), Immunofluorescence (IF) and FISH techniques including multiplexing
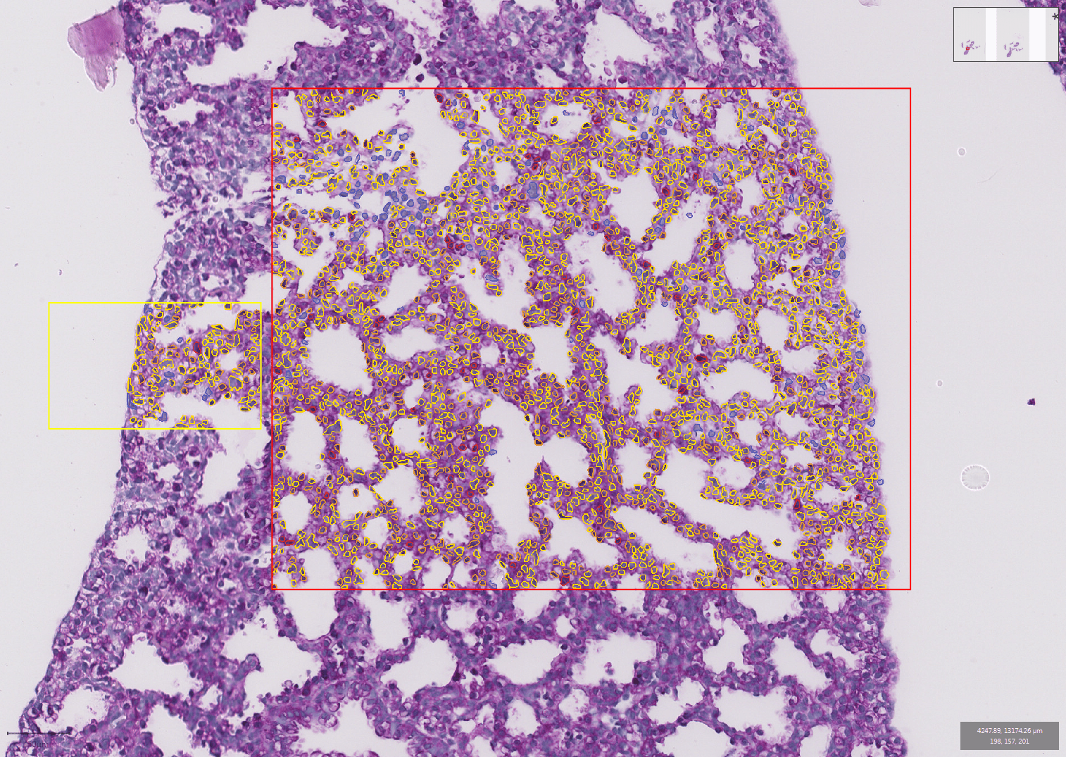
  • Tissue slide scanning (bright field and IF)
  • Histopathological and Image Analysis studies and reports
  • Assistance with protocol study set up (experimental design) and development
  • Mouse pathology phenotyping
  • Characterization of different animal models of disease (inflammatory, autoimmune, cancer, ageing, ...)
  • Histological studies to assess Drug efficacy and toxicity
  • Initial inquiry: send an email to histopathology@irbbarcelona.org explaining your project needs.
  • Review & approval: CF staff reviews the request and, if needed, contacts the user for clarification or to schedule a consultation. A quote is sent to the user/PI with the estimated timeline.
  • Sample Submission: the user fills the study request form and delivers the sample following facility’s guidelines.
  • Service processing: the facility performs the requested service.
  • Data Analysis (if applicable): data is processed, analysed, and interpreted according to the service requested.
  • Results Delivery: results are delivered to the user as a report, raw data, analysis or interpretation.
  • Follow-up: optional meeting to explain results or assist with interpretation.
Giroud-Gerbetant, Judith; Sotillo, Fernando; Hernández, Gonzalo; Ruano, Irene; Sebastián, David; Fort, Joana; Sánchez, Mayka; Weiss, Günter; Prats, Neus; Zorzano, Antonio; Palacín, Manuel; Bodoy, Susanna
Molecular Medicine,
31
(1 )
29
(2025)
Chaib S; López-Domínguez JA; Lalinde-Gutiérrez M; Prats N; Marin I; Boix O; García-Garijo A; Meyer K; Muñoz MI; Aguilera M; Mateo L; Stephan-Otto Attolini C; Llanos S; Pérez-Ramos S; Escorihuela M; Al-Shahrour F; Cash TP; Tchkonia T; Kirkland JL; Abad M; Gros A; Arribas J; Serrano M
Nature Cancer,
5
(3 )
448
- 462
(2024)
Kovatcheva, M; Melendez, E; Chondronasiou, D; Pietrocola, F; Bernad, R; Caballe, A; Junza, A; Capellades, J; Holguín-Horcajo, A; Prats, N; Durand, S; Rovira, M; Yanes, O; Attolini, CSO; Kroemer, G; Serrano, M
Nature Metabolism,
5
(11 )
1911
- 1930
(2023)
Solá, P; Mereu, E; Bonjoch, J; Casado-Peláez, M; Prats, N; Aguilera, M; Reina, O; Blanco, E; Esteller, M; Di Croce, L; Heyn, H; Solanas, G; Benitah, SA
Nature Aging,
3
(6 )
688
(2023)
Maus, M; López-Polo, V; Mateo, L; Lafarga, M; Aguilera, M; De Lama, E; Meyer, K; Sola, A; Lopez-Martinez, C; López-Alonso, I; Guasch-Piqueras, M; Hernandez-Gonzalez, F; Chaib, S; Rovira, M; Sanchez, M; Faner, R; Agusti, A; Diéguez-Hurtado, R; Ortega, S; Manonelles, A; Engelhardt, S; Monteiro, F; Attolini, CSO; Prats, N; Albaiceta, G; Cruzado,...
Nature Metabolism,
(5 )
2111
- 2130
(2023)
Solá, Paloma; Mereu, Elisabetta; Bonjoch, Júlia; Casado, Marta; Reina, Oscar; Blanco, Enrique; Esteller, Manel; DiCroce, Luciano; Heyn, Holger; Solanas, Guiomar; Benitah, Salvador Aznar
Biorxiv : The Preprint Server For Biology,
(2022)
Chondronasiou, D; Gill, D; Mosteiro, L; Urdinguio, RG; Berenguer, A; Aguilera, M; Durand, S; Aprahamian, F; Nirmalathasan, N; Abad, M; Martin-Herranz, DE; Otto-Attolini, CS; Prats, N; Kroemer, G; Fraga, MF; Reik, W; Serrano, M
Aging Cell,
21
(3 )
e13578
(2022)
Pascual, G; Dominguez, D; Elosua-Bayes, M; Beckedorff, F; Laudanna, C; Bigas, C; Douillet, D; Greco, C; Symeonidi, A; Hernandez, I; Gil, SR; Prats, N; Bescos, C; Shiekhattar, R; Amit, M; Heyn, H; Shilatifard, A; Benitah, SA
Nature,
599
(7885 )
485
(2021)
Testoni, G; Olmeda, B; Duran, J; López-Rodríguez, E; Aguilera, M; Hernández-Alvarez, MI; Prats, N; Pérez-Gil, J; Guinovart, JJ
Human Molecular Genetics,
29
(21 )
3554
- 3565
(2020)
Welz, PS; Zinna, VM; Symeonidi, A; Koronowski, KB; Kinouchi, K; Smith, JG; Guillén, IM; Castellanos, A; Crainiciuc, G; Prats, N; Caballero, JM; Hidalgo, A; Sassone-Corsi, P; Benitah, SA
Cell,
177
(6 )
1436
- 1447
(2019)
Terré, B; Lewis, M; Gil-Gómez, G; Han, ZY; Lu, H; Aguilera, M; Prats, N; Roy, S; Zhao, HT; Stracker, TH
Development,
146
(8 )
dev162628
(2019)
Avgustinova, A; Symeonidi, A; Castellanos, A; Urdiroz-Urricelqui, U; Sole-Boldo, L; Martin, M; Perez-Rodriguez, I; Prats, N; Lehner, B; Supek, F; Benitah, SA
Nature Cell Biology,
20
(12 )
1400
(2018)
Salzer, MC; Lafzi, A; Berenguer-Llergo, A; Youssif, C; Castellanos, A; Solanas, G; Peixoto, FO; Attolini, CSO; Prats, N; Aguilera, M; Martín-Caballero, J; Heyn, H; Benitah, SA
Cell,
175
(6 )
1575
(2018)
Rinaldi, L; Avgustinova, A; Martín, M; Datta, D; Solanas, G; Prats, N; Benitah, SA
Elife,
6
e21697
(2017)
Cortina, C; Turon, G; Stork, D; Hernando-Momblona, X; Sevillano, M; Aguilera, M; Tosi, S; Merlos-Suárez, A; Attolini, CSO; Sancho, E; Batlle, E
Embo Molecular Medicine,
9
(7 )
869
- 879
(2017)
Pascual, G; Avgustinova, A; Mejetta, S; Martín, M; Castellanos, A; Attolini, CSO; Berenguer, A; Prats, N; Toll, A; Hueto, JA; Bescós, C; Di Croce, L; Benitah, SA
Nature,
541
(7635 )
41
(2017)

Group members

Research Officer
Research Officer
Research Officer
Research Technology Platform Technician
Senior Research Technology Platform Technician
Research Technology Platform Technician

Do you want to be informed?

Contact us.

SVG
Mailing