Images
Work by IRB Barcelona researchers will further the study of neurodegenerative diseases such as Lafora progressive myoclonic epilepsy
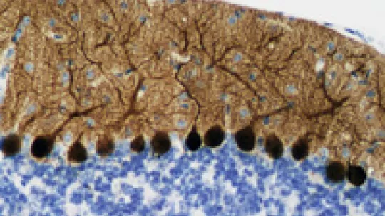
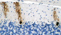
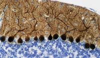
Collaborative research by groups headed by scientists Joan J. Guinovart and Marco Milán at the Institute for Research in Biomedicine (IRB Barcelona) has revealed conclusive evidence about the harmful effects of the accumulation of glucose chains (glycogen) in fly and mouse neurons. These two animal models will allow scientists to address the genes involved in this harmful process and to find pharmacological solutions that allow disintegration of the accumulations or limitation of glycogen production. Advances in this direction would make a significant contribution to investigation into Lafora progressive myoclonic epilepsy and other neurodegenerative diseases characterized by glycogen accumulation in neurons. The journal EMBO Molecular Medicine publishes the results of the study this week.
“Our data clearly indicate that glycogen accumulation alone kills neurons and thus dramatically reduces lifespan”, explains Guinovart, an expert in glycogen metabolism, group leader at IRB Barcelona, and senior professor at the University of Barcelona, “because the only thing we have manipulated in the neurons is their capacity to produce glycogen”.
The inclusion of the Drosophila fly in the study provides in vivo confirmation of the theory in another animal model as these flies also show the same symptoms of degeneration as mice when glycogen accumulates in neurons. However, in addition the use of Drosophila will speed up obtaining genetic data and the screening of therapeutic molecules. “In a short time we will be able to perform a massive search for genes involved in the pathological process and to understand it better at the molecular level”, emphasizes Marco Milán, ICREA researcher at IRB Barcelona and a specialist in Drosophila. “But the flies will also be useful to identify pharmacological molecules that can cure”, he explains.
The IRB Barcelona teams are designing several experiments to identify the possible therapeutic targets that may be useful to prevent glycogen accumulation in neurons. In addition to the direct relation to Lafora epilepsy, a progressive degenerative disease that affects adolescents and has no cure, glycogen accumulation could be the main cause of other neurodegenerative illnesses such as Adult polyglucosan body disease and Andersen’s disease.
Reference article:
Deleterious effects of neural accumulation of glycogen in flies and mice
Jordi Duran, María Florencia Tevy, Mar García-Rocha, Joaquim Calbó, Marco Milán, Joan J. Guinovart.
EMBO Molecular Medicine (2012). Doi: 10.1002/emmm.201200241
About IRB Barcelona
The Institute for Research in Biomedicine (IRB Barcelona) pursues a society free of disease. To this end, it conducts multidisciplinary research of excellence to cure cancer and other diseases linked to ageing. It establishes technology transfer agreements with the pharmaceutical industry and major hospitals to bring research results closer to society, and organises a range of science outreach activities to engage the public in an open dialogue. IRB Barcelona is an international centre that hosts 400 researchers and more than 30 nationalities. Recognised as a Severo Ochoa Centre of Excellence since 2011, IRB Barcelona is a CERCA centre and member of the Barcelona Institute of Science and Technology (BIST).