Skip to main content

Research at IRB Barcelona receives a prize from the AECC

Images

The Asociación Española Contra el Cáncer (AECC) presents a prize for a study that reveals the capacity of the CPEB4 protein to prevent fatty liver disease.

The research was led by Raúl Méndez from IRB Barcelona and Mercedes Fernández from IDIBAPS.

The Asociación Española Contra el Cáncer (AECC) has given a prize to a study called Circadian- and UPR-dependent control of CPEB4 mediates a translational response to counteract hepatic steatosis under ER stress, led by Raúl Méndez, head of the Translational Control of Cell Cycle and Differentiation Lab at IRB Barcelona, and Mercedes Fernández, from IDIBAPS.

The article has been awarded as the "Best Publication" of the II Contest of disclosure and involvement in cancer research of the AECC. The AECC contest aims to recognize the actions that have managed to encourage the dissemination of science among the scientific community and society.

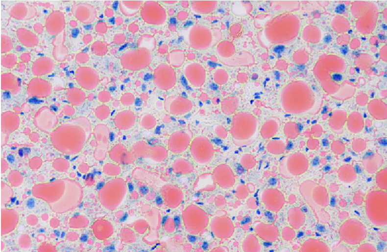
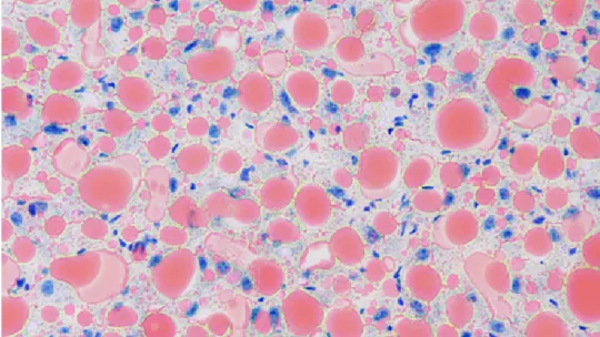
The research, published in the journal Nature Cell Biology, reveals the capacity of the CPEB4 protein to prevent fatty liver, the most prevalent chronic of this organ that is caused by the excessive fat deposits in liver cells. IRB Barcelona prepared the press release and led the dissemination of the research through different channels, in coordination with IDIBAPS.

 

Link to the press release.

 

About IRB Barcelona

The Institute for Research in Biomedicine (IRB Barcelona) pursues a society free of disease. To this end, it conducts multidisciplinary research of excellence to cure cancer and other diseases linked to ageing. It establishes technology transfer agreements with the pharmaceutical industry and major hospitals to bring research results closer to society, and organises a range of science outreach activities to engage the public in an open dialogue. IRB Barcelona is an international centre that hosts 400 researchers and more than 30 nationalities. Recognised as a Severo Ochoa Centre of Excellence since 2011, IRB Barcelona is a CERCA centre and member of the Barcelona Institute of Science and Technology (BIST).

Participants

Contact

Image
ADMIN_Barberia
Section Head of Communication & Outreach
Tel.+34 93 40 37255